微影医生安卓正版是一款专为医疗影像领域设计的移动端专业工具,由浙江莱达信息技术有限公司开发并运营。该软件深度整合云服务器技术,支持医生通过手机或平板设备随时随地调阅患者的电子胶片、PDF检查报告及三维影像数据,实现远程诊断、会诊协作与患者管理。其核心功能覆盖影像查看、病情沟通、治疗方案制定及患者随访跟踪,尤其适用于影像科、肿瘤科等需要精准分析病灶的科室,有效提升医生工作效率与诊断准确性,同时打破地域限制,为基层医疗机构提供优质医疗资源支持。

1. 注册认证:下载安装后,使用手机号注册账号,进入“去认证”页面选择医生身份,上传身份证、医师资格证、执业证及工作证完成实名认证,审核通过后即可使用全部功能。
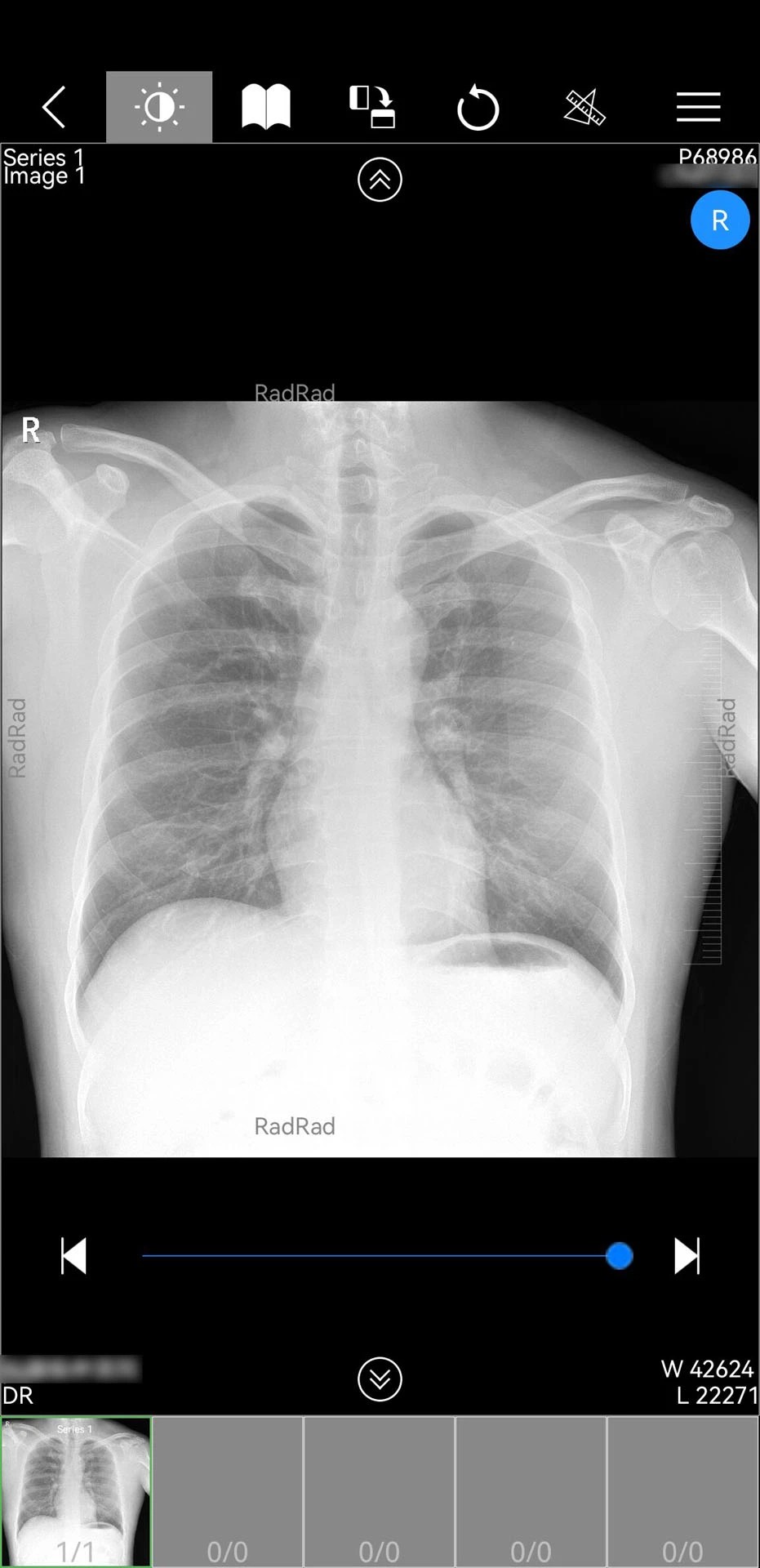
2. 患者信息调阅:登录后通过“患者管理”模块查看已预约、咨询或报到的患者列表,支持按姓名、检查类型筛选病例,点击患者详情可浏览其历史影像资料(如CT、MRI)及检查报告,支持缩放、旋转等交互操作。
3. 远程协作与问诊:通过“医生协作”功能发起同院或跨院转诊/会诊,分享患者影像链接至指定医生;使用“在线问诊”模块与患者进行图文、语音或视频沟通,结合影像资料提供诊断建议。
4. 随访与健康管理:在患者详情页设置随访计划,记录病情变化及用药情况;患者可通过“健康记录”功能上传血压、血糖等数据,医生可实时查看并调整治疗方案。
1. 影像处理能力升级:2025年12月最新版本(v1.18.110)新增CT三维处理服务,支持多平面重建(MPR)、容积渲染(VR)等高级功能,帮助医生更直观观察病灶空间结构。
2. 性能稳定性提升:优化云服务器数据传输协议,影像加载速度提升40%,减少卡顿;采用Android 12+系统底层优化,兼容性覆盖90%主流机型,确保低延迟操作体验。
3. 隐私安全加固:通过ISO27001信息安全管理体系认证,采用端到端加密传输患者数据,支持本地缓存加密存储,防止信息泄露;新增“隐私模式”,医生可一键隐藏敏感信息。
1. 全流程影像管理:从检查报告调阅到三维影像分析,覆盖诊断全环节,减少医生对传统胶片的依赖,提升工作效率30%以上。
2. 多模态沟通方式:支持图文标注、语音讲解、视频面诊,医生可结合影像动态演示病情,患者理解度提升50%,依从性显著增强。
3. 跨机构协作生态:与全国超2000家医院影像系统对接,实现数据互通;内置“医脉”社区,医生可分享病例、参与学术讨论,促进知识共享。
微影医生安卓正版以“让影像诊断更精准、更高效”为使命,通过技术创新持续赋能医疗行业。其强大的影像处理能力与便捷的协作功能,不仅为医生提供了移动化工作平台,更推动了优质医疗资源的下沉。未来,随着AI辅助诊断、5G远程手术等技术的融合,微影医生有望成为智慧医疗生态的核心入口,助力分级诊疗落地,让更多患者享受均质化医疗服务。
手机学习软件专题合集涵盖各类丰富学习资源。有语言学习软件,助你轻松学外语;数学、物理等学科辅导软件,能精准攻克知识难点;考证备考软件,提供系统复习资料与模拟题。还有阅读类软件,拓宽知识视野;技能培训软件,助力提升专业技能。它们利用碎片化时间,让学习更便捷高效,
移动医疗服务软件大全是一个丰富的软件专题合集。它汇聚了各类移动医疗服务软件,涵盖在线问诊、预约挂号、健康管理、医疗资讯等多种功能。能让用户便捷地通过手机获取医疗服务,如快速预约心仪医生,随时咨询病情,还可进行个人健康监测与管理。为人们就医问诊、健康维护提供了一
在日常工作和学习中,我们常常会遇到需要从163邮箱批量下载附件的情况。掌握一种高效的批量下载方法,能大大节省我们的时间和精力。下面就为大家详细介绍163邮箱批量下载附件的方法。首先,登录你的163邮箱账号。进入邮箱界面后,找到你需要下载附件的邮件所在的文件夹或