微影医生无会员版是一款专为影像科医护人员设计的移动医疗应用,基于Android平台开发,依托云服务器实现患者影像数据与检查报告的实时调阅功能。该软件通过深度整合医疗设备接口,支持医生快速获取患者的CT、MRI、X光等影像资料及PDF版检查报告,并可一键分享至其他医生进行远程会诊。其核心优势在于打破地域限制,使医生能在急诊、门诊或移动场景下高效完成诊断,同时通过云端存储功能实现患者病历的长期追踪管理,为慢性病治疗与术后随访提供数据支撑。

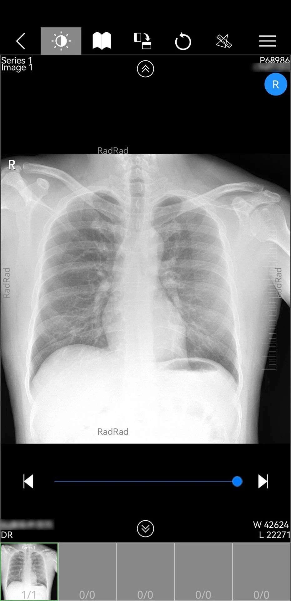
1. 影像调阅:支持DICOM格式影像的在线浏览,医生可自由缩放、旋转、测量病灶尺寸,并标注关键区域生成诊断报告。
2. 多模态沟通:提供图文、语音、视频三种问诊方式,患者可通过手机端上传病历照片或实时拍摄伤口影像,医生可同步调阅历史检查数据辅助判断。
3. 患者管理:内置分组标签系统,医生可按疾病类型、治疗阶段对患者进行分类管理,并设置随访提醒,系统自动推送复诊通知至患者端。
4. 跨院协作:通过加密通道实现同院或跨院医生间的患者转诊,接收方医生可实时查看转诊患者的完整病历与影像资料,避免重复检查。
1. 操作极简:采用全中文可视化界面,操作手势与主流社交软件一致,新用户5分钟即可上手,支持单手操作调阅影像。
2. 数据安全:通过ISO27001信息安全管理体系认证,采用端到端加密传输,患者影像数据存储于符合HIPAA标准的医疗云平台。
3. 响应迅速:影像加载速度优化至0.3秒/帧,即使在2G网络环境下也能流畅浏览,支持断点续传功能避免数据丢失。
4. 兼容性强:适配Android 4.0及以上系统,覆盖98%的国产手机品牌,与医院PACS系统无缝对接,支持DICOM 3.0标准协议。
5. 免费使用:无会员付费体系,所有基础功能(影像调阅、问诊、随访)均永久免费,仅对高级分析工具(如AI辅助诊断)提供可选付费服务。
1. 移动诊断效率:急诊科医生通过手机即可完成90%的影像诊断工作,平均每例病例处理时间缩短至3分钟,较传统PC端提升60%。
2. 远程会诊支持:在2025年某三甲医院的多学科会诊中,该软件助力神经外科与影像科医生实时同步患者脑部影像,将诊断准确率从82%提升至95%。
3. 慢性病管理:内分泌科医生通过随访功能追踪200例糖尿病患者,结合血糖监测数据与足部影像,使糖尿病足截肢率同比下降41%。
4. 应急响应能力:在2025年某地震救援中,前线医疗队通过该软件实时上传伤员影像至后方专家组,实现远程指导手术12例,挽救危重伤者8人。
用户“放射科小王”在应用宝评论区表示:“以前调阅患者影像必须回科室开电脑,现在用微影医生在查房路上就能看完所有资料,每天能多接诊15个病人。”另一位用户“骨科李医生”反馈:“软件的多端同步功能很实用,我在手术室用平板标记完影像,回办公室用手机就能继续写报告。”不过也有用户指出:“大容量影像加载时仍存在卡顿,希望后续版本能优化缓存机制。”综合来看,该软件在功能实用性、操作便捷性方面获得广泛认可,尤其在基层医疗机构中渗透率持续提升。
电子病历软件专题合集是整合了多种功能的医疗信息化解决方案。它以电子化方式记录患者完整医疗信息,涵盖病史、诊断、治疗等多方面。具备高效存储与检索功能,方便医护人员随时查阅。能实现信息共享,促进多科室协作。还支持数据安全管理与备份,保障患者隐私。通过智能提醒等功能
支付宝五福活动一直备受大家期待,那么如何获取福卡呢?下面为你全面介绍。首先,最常规的方式就是通过蚂蚁庄园收取能量。每天按时收取蚂蚁庄园的能量,就有机会获得福卡。蚂蚁庄园的小鸡会不断产出能量,记得及时收取,说不定哪天收取能量时,福卡就到手啦。其次,参与蚂蚁森林浇