微影医生纯净版是一款专为医疗行业设计的安卓端专业影像诊断与患者管理软件,由浙江莱达信息技术有限公司开发,基于Android平台构建,依托云服务器实现医疗数据的实时调取与安全存储。该软件深度整合医学影像处理、患者信息管理、远程协作等功能,支持医生通过手机或平板设备随时随地查看患者的CT、MRI等影像资料,同步调阅电子胶片、检查报告及PDF文档,并可一键分享至其他医生进行多学科会诊。其核心定位是提升影像科医生的工作效率,优化诊疗流程,同时为患者提供便捷的在线问诊服务,构建医患沟通的数字化桥梁。

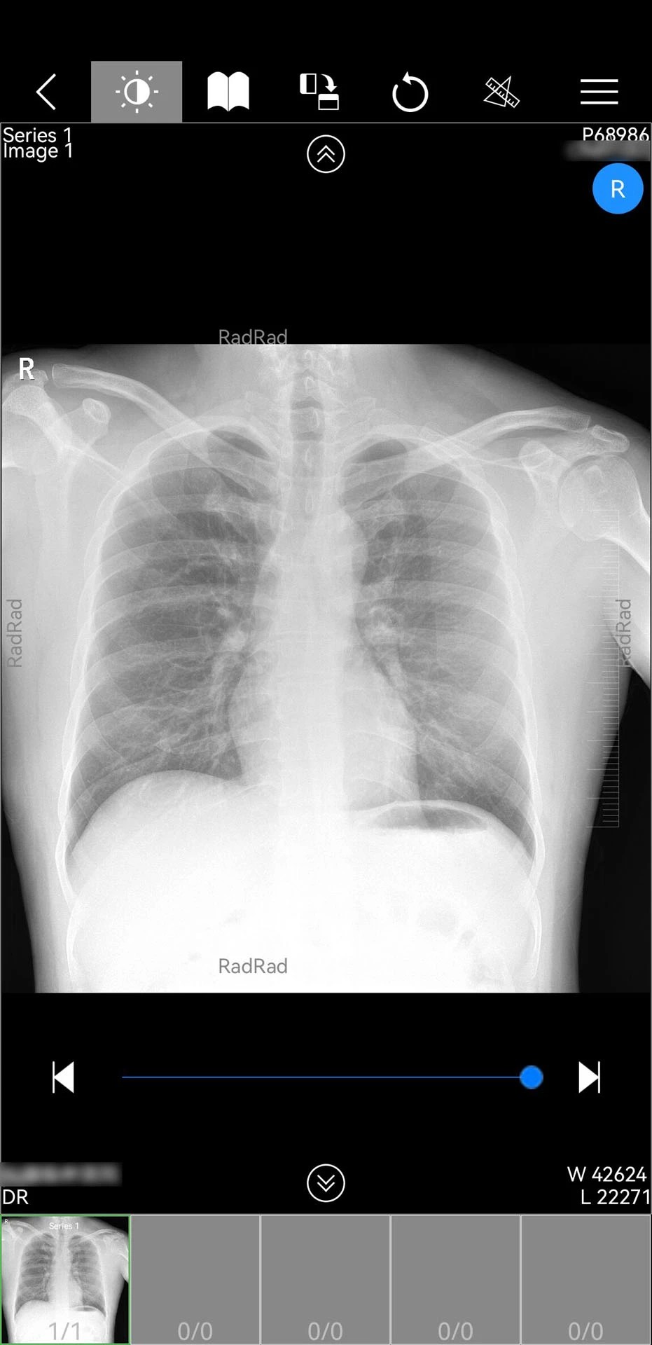
1. 全流程影像管理:支持DICOM格式影像的快速加载与三维重建,医生可对影像进行缩放、旋转、测量等操作,并标注关键病灶区域,辅助精准诊断。例如,在处理肺部结节时,可通过三维重建功能多角度观察结节形态,结合AI辅助分析提高诊断准确性。
2. 多模式远程协作:提供图文、语音、视频三种问诊方式,医生可与患者实时沟通病情,同时支持跨院转诊与会诊。例如,基层医院医生遇到复杂病例时,可通过软件将患者影像资料及病历共享至上级医院专家,实现远程联合诊疗。
3. 智能化患者管理:内置患者分组、标记备注、诊后随访等功能,医生可按疾病类型、治疗阶段等维度对患者进行分类管理,并设置随访提醒,跟踪病情变化。例如,对慢性病患者可制定长期随访计划,定期推送健康建议。
1. 数据安全保障:采用端到端加密技术,所有患者信息、影像资料及沟通记录均通过SSL协议传输,并存储于符合HIPAA标准的云服务器,确保数据隐私不泄露。
2. 操作便捷高效:界面采用全中文可视化设计,支持滑动、点击等移动设备通用手势,医生可快速上手。例如,查看影像时仅需双指缩放即可调整视图大小,操作流畅度优于同类软件。
3. 跨平台兼容性:支持Android 4.0及以上系统,覆盖主流手机与平板设备,且可与医院HIS、PACS等系统无缝对接,实现数据互通。例如,医生在院内使用工作站查看影像后,外出时可通过手机继续处理未完成病例。
4. 自动更新维护:软件内置自动更新机制,可实时推送功能优化与安全补丁,减少手动升级的繁琐操作。例如,2024年8月更新的v1.18.110版本新增了CT三维处理服务,用户无需重新下载即可使用新功能。
5. 多场景应用支持:除影像诊断外,还提供用药指导、健康评估、疾病自我评估等工具,满足医生与患者的多元化需求。例如,患者可通过“用药指导”模块查询药物相互作用、禁忌症等信息,避免用药风险。
1. 缓存管理优化:针对用户反馈的“缓存占用空间大”问题,需增加缓存清理功能,允许用户手动清除历史影像数据,避免频繁重装软件。例如,部分用户因缓存堆积导致软件运行卡顿,影响使用体验。
2. 性能稳定性提升:需优化影像加载速度,减少高分辨率影像(如4K)的卡顿现象。例如,有用户反映在查看大型CT影像时出现延迟,需通过算法优化提升渲染效率。
3. 用户界面细节改进:需简化部分功能入口,例如将“预约挂号”与“在线问诊”合并至首页快捷入口,减少操作步骤。同时,增加夜间模式,降低长时间使用对眼睛的刺激。
4. 多语言支持扩展:目前软件仅支持中文,需增加英文、西班牙文等语言版本,以满足国际用户需求。例如,部分海外华人医生因语言障碍无法使用全部功能,需通过多语言适配扩大用户群体。
用户评价呈现两极分化:部分医生用户认可其影像处理能力与协作效率,称“通过手机查看CT影像比传统胶片更清晰,且可随时分享给专家会诊”;但也有用户吐槽“缓存清理功能缺失导致存储空间不足”“高分辨率影像加载卡顿”“英文界面缺失影响国际使用”。综合来看,软件在专业功能上表现突出,但在用户体验细节与国际化支持方面仍有提升空间。
多语言翻译软件专题合集包含多种强大的翻译工具。它能打破语言障碍,支持全球众多主流语言互译。无论是商务文件、学术论文,还是日常交流、旅游出行等场景,都可快速准确地进行翻译。其具备智能识别与精准转换功能,能保留原文风格,方便人们轻松获取不同语言间的信息,极大地促进
预约挂号app软件专题合集,整合了众多便捷的挂号应用。这些app能让用户轻松查询各大医院科室及专家信息,在线预约挂号,节省排队等候时间。有的还关联检查检验报告查询功能,方便患者随时掌握自身健康数据。它们覆盖范围广,操作简便,提升了就医效率,为患者提供了一站式就
在网络世界中,热门文章总是吸引着众多读者的目光。而对于喜欢特定类型内容的人来说,找到精准的入口尤为重要。今天就来为大家推荐一些与“漫蛙manwa2入口”相关的热门文章。漫蛙manwa2以其丰富多样的漫画资源备受漫画爱好者青睐。在这里,你能找到各种风格的漫画,从