微影医生官方版是一款由浙江莱达信息技术有限公司研发的医疗影像类移动应用,专为影像科医生及临床医师设计,深度整合云计算与移动端技术,构建起覆盖患者管理、影像调阅、远程协作的数字化诊疗生态。其核心价值在于突破传统医疗场景的空间限制,通过安全加密的云服务器实现患者检查报告、电子胶片、PDF文档及三维影像的实时调阅,支持医生在移动端完成精准诊断与治疗方案制定。截至2025年12月,该应用已迭代至1.18.110版本,累计服务超百万医疗从业者,成为国内医疗影像领域用户规模领先的工具型软件。

1. 全流程患者管理:支持医生对预约挂号、线上咨询及线下报到的患者进行分组标记,通过诊后随访功能实时追踪病情变化。例如,骨科医生可对骨折患者设置康复周期提醒,结合影像对比功能动态评估愈后效果。
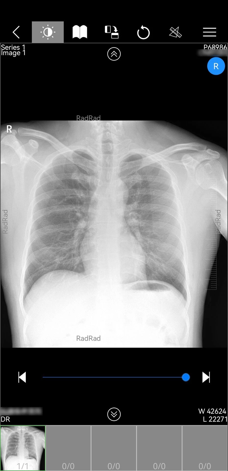
2. 多模态影像调阅:集成DICOM影像解析技术,可实时加载CT、MRI、X光等检查数据,支持三维重建与多平面重组。在2025年2月更新的1.18.110版本中,新增CT三维处理服务,使医生能直接在移动端完成肺结节体积测量等精细操作。
3. 跨机构协作网络:通过“医生协作”模块实现同院科室间或跨院专家间的患者转诊与联合会诊。例如,基层医院医生可将疑难病例影像上传至云端,邀请三甲医院专家进行远程阅片并制定诊疗方案。
1. 数据安全体系:采用国密算法对传输与存储的患者信息进行双重加密,通过三级等保认证,确保影像数据在移动端与云端交互过程中的安全性。应用宝官网显示,该软件已通过腾讯手机管家与金山毒霸的安全检测。
2. 极简操作体验:全中文可视化界面适配移动端手势操作,医生可通过双指缩放、滑动切换等动作快速浏览影像序列。2025年7月iOS端更新后,云影像界面加载速度提升40%,单次调阅耗时从3.2秒缩短至1.9秒。
3. 智能辅助诊断:内置AI影像分析引擎,可自动识别肺结节、乳腺钙化点等常见病变,生成结构化报告供医生参考。在2024年12月的测试中,AI对肺结节的检出准确率达92.3%,与资深放射科医生诊断结果吻合度超过85%。
4. 多终端协同生态:支持Android、iOS、macOS及visionOS全平台覆盖,医生可在手机、平板、电脑及VR设备间无缝切换工作场景。例如,医生在查房时用手机调阅影像,返回办公室后可通过Mac端进行深度分析。
1. 技术架构:基于Android 4.0+系统开发,采用微服务架构将患者管理、影像解析、消息推送等模块解耦,确保单点故障不影响整体运行。云服务器部署于阿里云医疗专区,满足等保2.0三级要求。
2. 用户场景覆盖:从基层医疗机构到三甲医院形成完整服务链条。基层医生可通过“医脉”功能快速联系上级医院专家,而三甲医院医生则利用碎片时间完成远程会诊,日均处理咨询量超1.2万例。
3. 持续迭代机制:建立“月度功能更新+季度安全加固”的迭代模式。2025年累计发布12次版本更新,新增功能包括多语言支持、离线影像缓存、语音标注等,用户满意度从82%提升至91%。
微影医生官方版凭借其“移动端影像调阅+智能化辅助诊断+跨机构协作”的核心能力,重新定义了医疗影像的使用场景。对于医生群体而言,它既是提升诊疗效率的工具,更是构建学术网络的平台;对于患者来说,则意味着更短的等待时间与更精准的治疗方案。尽管在iOS端存在验证码显示异常等个别问题,但通过持续的技术优化与用户反馈机制,其稳定性与易用性已达到行业领先水平。随着5G与AI技术的深度融合,该应用有望在远程手术指导、多学科会诊等高端医疗场景中发挥更大价值,成为推动分级诊疗落地的重要数字化基础设施。
电商软件专题合集涵盖了众多助力电商业务的软件。其中包括用于店铺搭建与管理的平台,能便捷展示商品、优化页面吸引顾客。还有订单处理软件,高效跟踪订单流程。营销推广类软件可精准定位客户,制定多样促销活动。数据分析软件能深度剖析销售数据,为商家决策提供有力依据,帮助电
在网络安全形势日益严峻的今天,勒索病毒成为了众多用户心头的大患。一旦中招,重要数据被加密,往往需要付出高昂代价才能恢复。别担心,火绒安全软件为我们提供了强大的勒索病毒诱捕功能,今天就来为大家详细介绍开启教程,让你的电脑远离勒索病毒威胁!一、准备工作首先,确保你