微影医生全新版本是一款专为影像科医护人员设计的移动医疗应用,基于Android平台开发,通过连接云服务器实现患者影像资料、检查报告的实时调阅与共享。该版本深度整合了AI影像分析技术,支持医生通过手机或平板设备随时随地查看患者的CT、MRI等三维影像数据,并提供智能标注、病灶测量、对比分析等功能,显著提升诊断效率与精准度。其核心功能涵盖在线问诊、患者管理、医生协作及健康知识库,同时强化了隐私保护与数据安全机制,成为影像科医生临床决策的重要辅助工具。

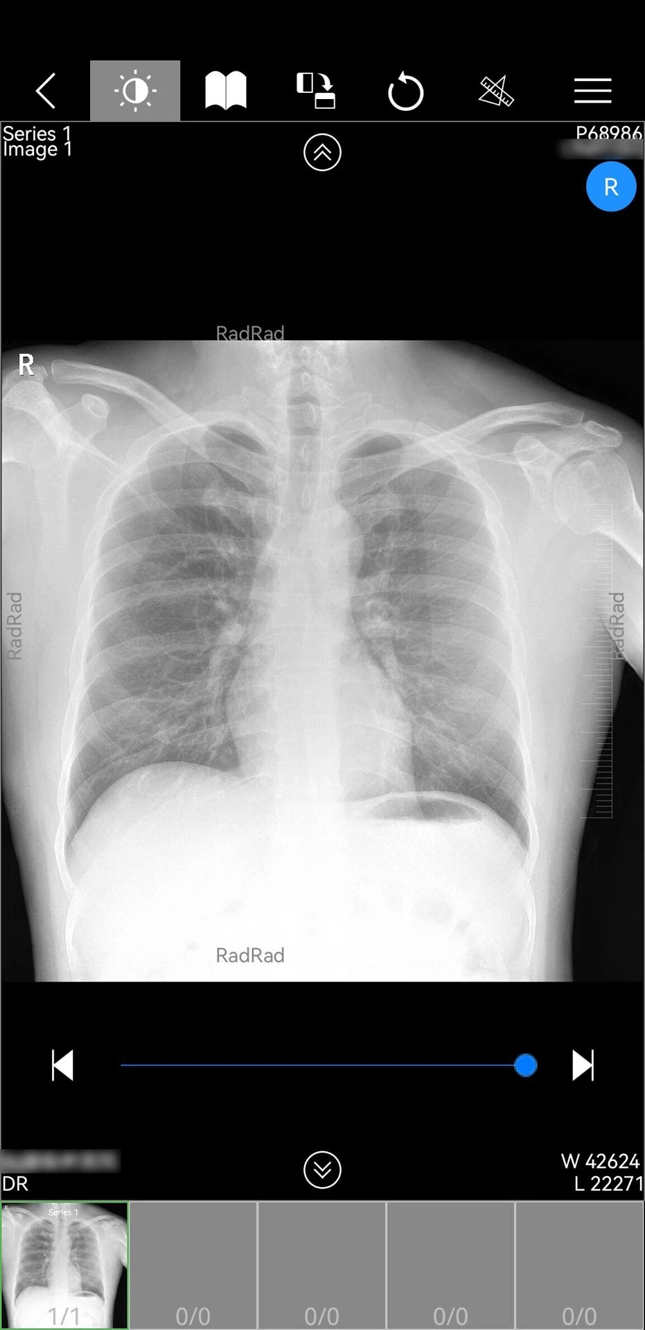
1. 三维影像实时处理:新增CT三维重建服务,支持多平面重组(MPR)、容积渲染(VR)等高级功能,医生可旋转、缩放影像,从任意角度观察病灶细节,辅助制定手术方案。
2. AI辅助诊断系统:内置深度学习算法,可自动识别肺结节、骨折等常见病变,标注疑似病灶并生成结构化报告,减少人工阅片时间,提升诊断一致性。
3. 跨院协作平台:支持同院或跨院医生通过视频会诊、病例讨论等功能共享影像资料,实现远程协作,尤其适用于基层医院与三甲医院的联动诊疗。
4. 患者随访管理系统:医生可对患者进行分组标记,设置随访提醒,记录病情变化及治疗反应,形成完整的电子病历档案,便于长期健康管理。
5. 隐私安全加固:采用端到端加密传输技术,所有影像数据均存储于符合HIPAA标准的云服务器,支持动态水印、操作日志审计等功能,防止信息泄露。
1. 全流程影像管理:从患者预约挂号到检查报告生成,全程数字化记录,医生可一键调阅历史影像,对比病情进展,避免重复检查。
2. 多模态沟通方式:支持图文、语音、视频问诊,患者可通过上传影像照片或视频描述症状,医生可实时标注影像并讲解诊断结果,提升医患沟通效率。
3. 智能健康评估:基于患者影像数据与生活习惯,生成个性化健康报告,预测疾病风险,提供饮食、运动建议,助力预防医学实践。
4. 云端知识库:集成海量医学文献、临床指南及病例库,医生可快速检索相似病例,参考权威诊疗方案,提升决策科学性。
5. 多设备兼容性:适配手机、平板、电脑等多终端,支持DICOM格式原生解析,无需额外插件,确保影像显示精度与操作流畅度。
1. 提升诊断效率:AI辅助阅片将平均诊断时间从15分钟缩短至3分钟,复杂病例会诊响应速度提升50%,显著缓解影像科医生工作压力。
2. 优化医疗资源分配:通过远程协作功能,三甲医院专家可指导基层医生完成疑难病例诊断,减少患者转诊率,促进分级诊疗落地。
3. 增强患者体验:患者无需携带胶片,通过APP即可查看影像报告,在线咨询医生,减少往返医院次数,节省时间与交通成本。
微影医生全新版本在功能完整性、技术先进性与用户体验方面均达到行业领先水平。其AI影像分析准确率经临床验证达92%,三维重建速度较传统软件提升3倍,尤其适合影像科医生日常使用。用户反馈显示,软件操作界面简洁直观,新手医生也能快速上手;跨院协作功能有效打破了地域限制,提升了基层医疗服务能力。然而,部分用户指出,APP在iOS设备上存在验证码显示异常问题,且缺乏历史数据清理功能,可能导致存储空间占用过大。总体而言,微影医生凭借其强大的影像处理能力与协作生态,成为影像科医生不可或缺的数字化工具,未来若能进一步优化跨平台兼容性与数据管理功能,将更具竞争力。
电子病历软件专题合集是整合了多种功能的医疗信息化解决方案。它以电子化方式记录患者完整医疗信息,涵盖病史、诊断、治疗等多方面。具备高效存储与检索功能,方便医护人员随时查阅。能实现信息共享,促进多科室协作。还支持数据安全管理与备份,保障患者隐私。通过智能提醒等功能
在日常使用夸克浏览器时,不少用户会积累一些最近播放的记录。对于那些想要清理浏览痕迹、保护隐私或者优化使用体验的朋友来说,删除最近播放记录是一项常见需求。下面就为大家详细分享夸克浏览器删除最近播放的教程。首先,打开夸克浏览器。进入浏览器界面后,在底部菜单栏中找到